生物是一门集实验性、实践性及科学性于一身的自然科学。近期,咸阳市高新一中初中部生物备课组设计了“显微镜下的神奇世界”的学生活动。旨在激发学生的学习兴趣,调动学生学习生物学知识的积极性,进一步培养学生生物学操作技能和科学的实验方法,提高学生学生分析问题和解决问题的能力,以及培养学生团结合作、互相帮助的团队精神。
让我们一起来看看社团成员们的活动课吧!看啊,他们多么认真,多么专业。




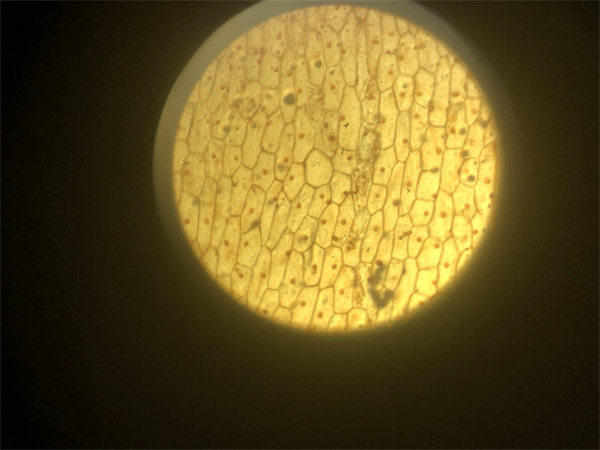
这是一张同学们自制装片,自己用显微镜看到的洋葱内表皮细胞。但是光线有点强,内部的结构都看不清楚了。你知道怎么调节吗?

这一张,相对比较好,染色到位,细胞核清晰可见。你有没有注意到右上部分的细胞好像是两层呀!怎么回事呢?

这一张也不错,不过有一个污点!这个污点在哪里呢?目镜上?物镜上?还是玻片标本上?同学们会判断吗?

这一张的右上方有两个气泡,影响我们观察,你能把它们移出视野吗?

这张图片足以完美收官,细胞清晰,细胞核还有立体的感觉,没有气泡和污点,光线也恰到好处。这是此次活动的最佳作品了!

此次活动结束了,但同学们的热情并没有消退,日后,我们将用显微镜观察更多的材料,发现更美更神奇的显微世界。同学们,让我们拭目以待。
